ADT Nederland

Cursus: Posterior Perfection & Anterior Artistry

Een unieke 2-daagse cursus vol kennis, praktijk en esthetiek!

23 en 24 januari 2026

posterior-perfection-anterior-artistry-1

Erik-Jan Muts

Dag 1: Posterior Perfection

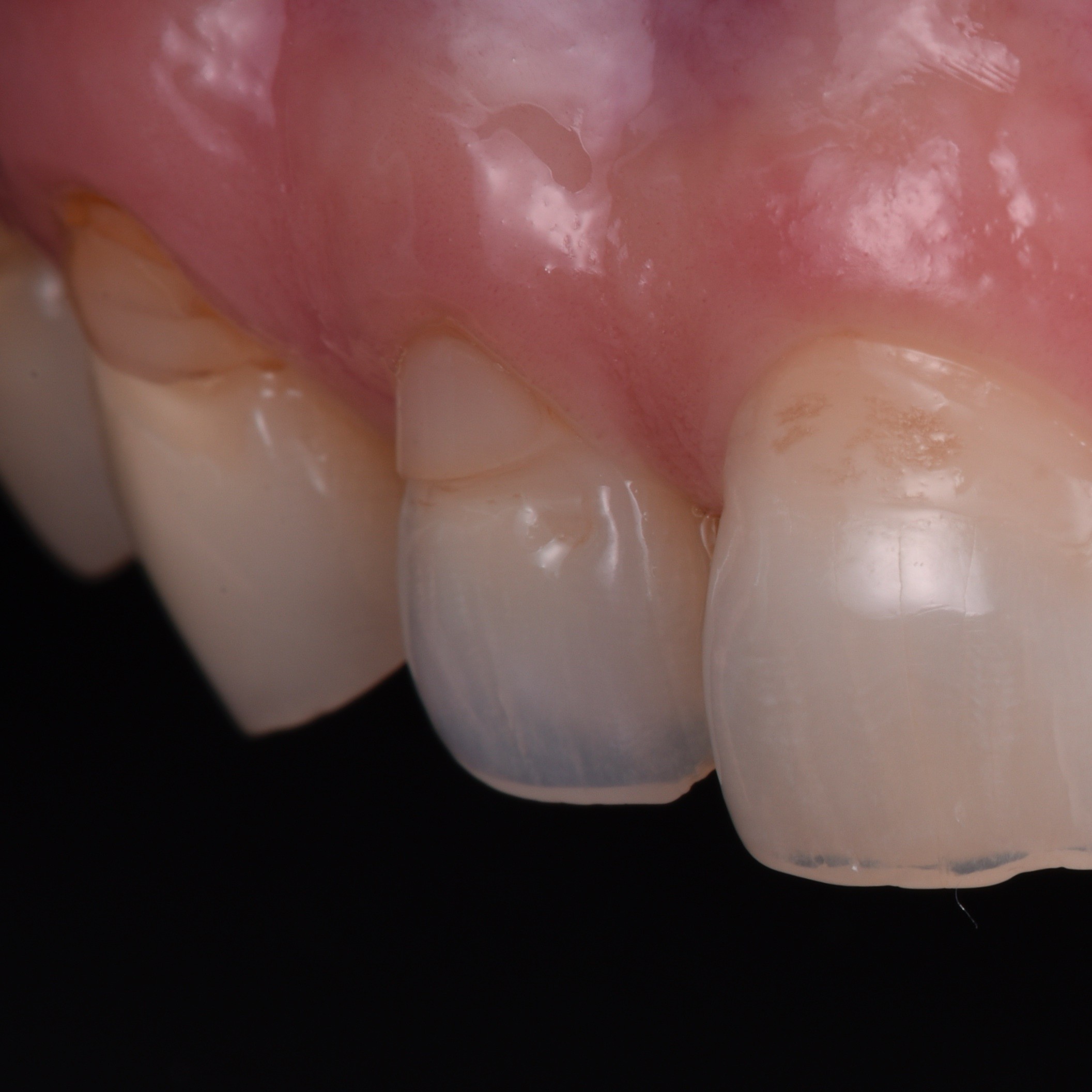
Wil jij de kwaliteit van je composietrestauraties naar het volgende niveau brengen? Voorspelbaar en duurzaam kunnen restaureren? In deze 1-daagse cursus worden alle aspecten van directe composietrestauraties besproken en geoefend. Leer om eenvoudig een 'deep margin elevation' uit te voeren, een afgebroken knobbel te herstellen en de vormgeving te beheersen. Wil je ook meer weten over het restaureren van de voortanden? Dan volg je de cursus natuurlijk als een 2-daagse combi-cursus!

Dag 2: Anterior Artistry

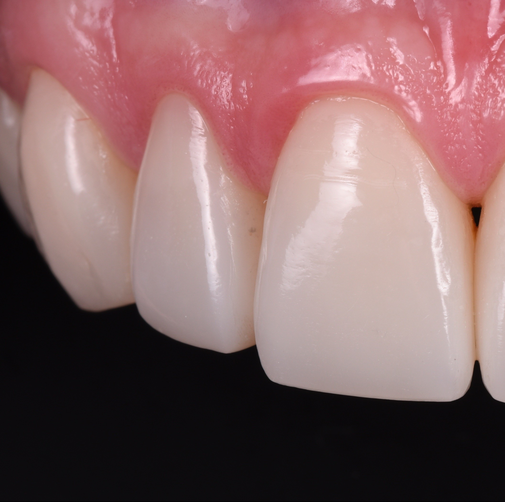
Mooie voortanden zijn een visitekaartje, niet alleen voor de patiënt, maar ook voor de tandarts. Deze 1-daagse cursus richt zich op de planning en uitvoering van het herstellen van de voortanden, het sluiten van diastemen en het opbouwen van een kegeltand. We gaan voornamelijk hands-on aan de slag voor verschillende tips & tricks. Wil je ook meer weten over het restaureren van de posterieure zone? Dan volg je de cursus natuurlijk als een 2-daagse combi-cursus!

Kosten: € 399,- excl. BTW (voor beide dagen)

Programma

Dag 1: Posterior Perfection

23 januari 2026

  • 09:00 - Welkom
  • 09:00 - 10:00 Biomimetisch restaureren
  • 10:00 - 10:30 Stempeltechniek
  • 10:30 - 11:00 Hands-on stempeltechniek
  • 11:00 - 12:00 DME, matrixing & more
  • 12:00 - 13:00 Lunch
  • 13:00 - 17:00 Hands-on posterior perfection

Dag 2: Anterior Artistry

24 januari 2026

  • 07:00 - Morning run
  • 09:00 - Welkom
  • 09:00 - 10:00 Smile design, wax-up & mock-up
  • 10:00 - 11:00 Layering
  • 11:00 - 12:00 Hands-on
  • 12:00 - 13:00 Lunch
  • 13:00 - 17:00 Hands-on anterior artistry
posterior-perfection-anterior-artistry
posterior-perfection-anterior-artistry
posterior-perfection-anterior-artistry
posterior-perfection-anterior-artistry
Toegevoegd
Winkelwagen
U staat op het punt om een inlogsessie te verwijderen. Als u dit doet wordt u uitgelogd op het apparaat waar deze sessie wordt gebruikt.
Bestelling
U staat op het punt om een bestelling volledig te annuleren. U kunt dit niet ongedaan maken.

Wel kunt u de artikelen opnieuw toevoegen aan uw winkelwagen en een nieuwe bestelling maken.

Wilt u de bestelling annuleren?
Verwijderen uit favorieten
Voeg toe aan favorieten